Floss Dental – Medibank preferred Broadway Dentist
  • Home
  • Our Team
    • Flossophy
  • Our Services
    • General Dentistry
    • Major Dentistry
    • Cosmetic Dentistry
    • Minor Orthodontics
    • Injectables (Relax / Fill)
  • Special Offers
    • Payment Plans
  • Smile Gallery
    • Bridges, Crowns & Dentures
    • Veneers & Composites
    • Invisalign & Cfast
    • Teeth Whitening
    • Smile Makeovers
  • Patient Resource
    • New Patient Form
    • COVID-19 Guidelines
    • Educational Videos
  • Contact Us
    • How To Find Us
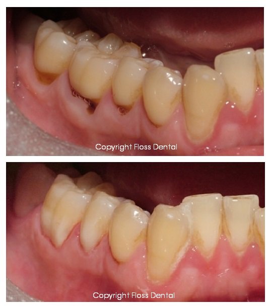
Home » Smile Gallery » gums
  • gums

    Posted on January 20, 2014
    ← Previous Image Next Image →

Categories

  • Dental News & Updates


  • Floss Dental - Medibank preferred Broadway Dentist - Providing quality and caring dental care for Broadway, Ultimo, Chippendale, Glebe, Pyrmont, and Newtown